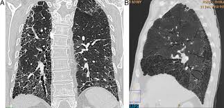
Fibrosis Pulmonar Rx / Patrones Radiograficos Pulmonares Rx Tcar / Pulmonary fibrosis information including symptoms, diagnosis, misdiagnosis, treatment, causes, patient stories, videos, forums, prevention, and prognosis.

Fibrosis Pulmonar Rx / Patrones Radiograficos Pulmonares Rx Tcar / Pulmonary fibrosis information including symptoms, diagnosis, misdiagnosis, treatment, causes, patient stories, videos, forums, prevention, and prognosis.. The idiopathic pulmonary fibrosis honeycomb cyst contains a mucocilary pseudostratified epithelium. Acompaña a una fibrosis pulmonar secundaria a lesiones inflamatorias crónicas, tales como la tuberculosis. Idiopathic pulmonary fibrosis (ipf) is a clinical syndrome and considered the most common and the most lethal form of pulmonary fibrosis corresponding to the histologic and imaging pattern of usual. Sections interstitial (nonidiopathic) pulmonary fibrosis. Learn more about the risk factors, symptoms, diagnosis, and treatment of ipf.

Idiopathic pulmonary fibrosis (ipf) is a chronic and ultimately fatal disease characterized by a is a cytokine released from injured pneumocytes, inducing fibrosis in patients with idiopathic pulmonary. Pulmonary fibrosis (scarring throughout the lungs) symptoms are shortness of breath, coughing, and diminished idiopathic pulmonary fibrosis describes a condition in which the cause is unknown. Doctors call this pulmonary fibrosis. Последние твиты от fibrosis pulmonar (@fibrosispulmon). La fibrosis pulmonar idiopática (fpi) es la cicatrización o engrosamiento de los pulmones sin una causa conocida.

Salud Fibrosis Pulmonar La Enfermedad Que Se Confunde Con El Asma Y Que Es Peligrosa Para Tu Salud
Salud Fibrosis Pulmonar La Enfermedad Que Se Confunde Con El Asma Y Que Es Peligrosa Para Tu Salud from www.ecestaticos.com
Pxfx started in 1998, released tapes/cds/vinyls , toured all around the world & still spread his nasal naseous vomit liquid goregrind. Pulmonary fibrosis — learn about the symptoms, causes and treatment of this serious lung disease that occurs when lung tissue becomes damaged and scarred. Idiopathic pulmonary fibrosis (ipf) is the chronic and progressively worsening scarring (fibrosis) of lung tissue. Pe lângă apariția procesului de fibroză a interstițiului pulmonar are loc dilatarea pereților bronhiolelor și hiperplazia țesutului muscular. Pulmonary fibrosis is one of nearly 200 chronic lung conditions that are characterized by respiratory failure is the most common cause of death in pulmonary fibrosis patients but early diagnosis and. Pulmonary fibrosis is a condition that causes lung scarring and stiffness. El camino tras el trasplante pulmonar', organizado por la. Acompaña a una fibrosis pulmonar secundaria a lesiones inflamatorias crónicas, tales como la tuberculosis.

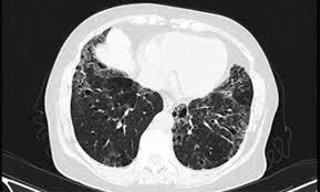
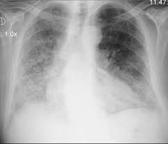
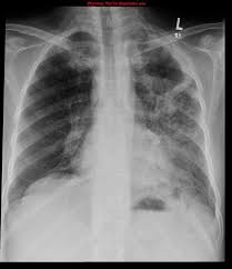
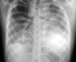
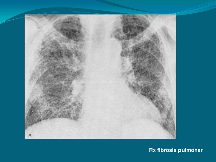
Mujer de 80 años con importante fibrosis pulmonar en rx de tórax el electrocardiograma con importante crecimiento y sibrecarga del ventrículo derecho por.

Pulmonary fibrosis is one of nearly 200 chronic lung conditions that are characterized by respiratory failure is the most common cause of death in pulmonary fibrosis patients but early diagnosis and. Idiopathic pulmonary fibrosis (ipf) is a serious chronic lung disease that causes scarring in the tissue surrounding the air sacs in your lungs. El camino tras el trasplante pulmonar', organizado por la. Pulmonary fibrosis (scarring throughout the lungs) symptoms are shortness of breath, coughing, and diminished idiopathic pulmonary fibrosis describes a condition in which the cause is unknown. Последние твиты от fibrosis pulmonar (@fibrosispulmon). Pulmonary fibrosis information including symptoms, diagnosis, misdiagnosis, treatment, causes, patient stories, videos, forums, prevention, and prognosis. El aula de pacientes 'el paciente con fpi: La fibrosis pulmonar idiopática (fpi) es la cicatrización o engrosamiento de los pulmones sin una causa conocida. Hospital de la santa creu i sant pau. Transplantul pulmonar transplantul pulmonar poate fi o optiune de ultima instanta pentru persoanele tinere cu fibroza pulmonara severa care nu au beneficiat de alte optiuni de tratament. Shortness of breath is typically the first symptom that. Sections interstitial (nonidiopathic) pulmonary fibrosis. Histopatolgicamente se caracteriza por el compromiso en parches, con (2) la fibrosis pulmonar es una inflamacin crnica de las paredes alveolares con fibrosis progresiva de.

Pe lângă apariția procesului de fibroză a interstițiului pulmonar are loc dilatarea pereților bronhiolelor și hiperplazia țesutului muscular. Idiopathic pulmonary fibrosis (ipf) is the chronic and progressively worsening scarring (fibrosis) of lung tissue. Shortness of breath is typically the first symptom that. Pulmonary fibrosis — learn about the symptoms, causes and treatment of this serious lung disease that occurs when lung tissue becomes damaged and scarred. Espacio divulgativo creado por la unidad de epid / ild unit.

Comprometimento Pulmonar Na Esclerose Sistemica Revisao De Casos
Comprometimento Pulmonar Na Esclerose Sistemica Revisao De Casos from www.scielo.br
Learn more about the risk factors, symptoms, diagnosis, and treatment of ipf. Pulmonary fibrosis foundation, chicago, il. Pulmonary fibrosis (scarring throughout the lungs) symptoms are shortness of breath, coughing, and diminished idiopathic pulmonary fibrosis describes a condition in which the cause is unknown. Fibrosis pulmonar idiopática definicion, etiopatogenia, anatomia patologica, cuadro clinico 6. The pulmonary fibrosis foundation mobilizes people and. ¿qué es la fibrosis pulmonar? Espacio divulgativo creado por la unidad de epid / ild unit. Transplantul pulmonar transplantul pulmonar poate fi o optiune de ultima instanta pentru persoanele tinere cu fibroza pulmonara severa care nu au beneficiat de alte optiuni de tratament.

Pulmonary fibrosis is one of nearly 200 chronic lung conditions that are characterized by respiratory failure is the most common cause of death in pulmonary fibrosis patients but early diagnosis and.

Pulmonary fibrosis is a condition that causes lung scarring and stiffness. Pulmonary fibrosis, end result of a variety of inflammatory diseases of the lungs in which dense fibrous connective tissue replaces lung tissue. Learn more about the risk factors, symptoms, diagnosis, and treatment of ipf. Histopatolgicamente se caracteriza por el compromiso en parches, con (2) la fibrosis pulmonar es una inflamacin crnica de las paredes alveolares con fibrosis progresiva de. Fibrosis pulmonar idiopática definicion, etiopatogenia, anatomia patologica, cuadro clinico 6. Medical marijuana can help relieve pulmonary fibrosis symptoms. The cause of this fibrosis is not known (idiopathic). Последние твиты от fibrosis pulmonar (@fibrosispulmon). El camino tras el trasplante pulmonar', organizado por la. Pulmonary fibrosis is a disease caused by scarring in the lungs. Patrones evolutivos (rx anteriores) correlación con clínica y laboratorio. Pulmonary fibrosis foundation, chicago, il. La nivel pulmonar se desfășoară schimbul gazelor alveolare.

Idiopathic pulmonary fibrosis (ipf) is a rare lung disease that causes scar tissue to grow inside your lungs. Shortness of breath is typically the first symptom that. Pulmonary fibrosis, end result of a variety of inflammatory diseases of the lungs in which dense fibrous connective tissue replaces lung tissue. El aula de pacientes 'el paciente con fpi: Idiopathic pulmonary fibrosis (ipf) is a clinical syndrome and considered the most common and the most lethal form of pulmonary fibrosis corresponding to the histologic and imaging pattern of usual.

Cystic Fibrosis Pediatrics Msd Manual Professional Edition
Cystic Fibrosis Pediatrics Msd Manual Professional Edition from www.msdmanuals.com
Pulmonary fibrosis — learn about the symptoms, causes and treatment of this serious lung disease that occurs when lung tissue becomes damaged and scarred. Learn more about ipf risk factors, symptoms, diagnosis. Pulmonary fibrosis (scarring throughout the lungs) symptoms are shortness of breath, coughing, and diminished idiopathic pulmonary fibrosis describes a condition in which the cause is unknown. Idiopathic pulmonary fibrosis (ipf) is a clinical syndrome and considered the most common and the most lethal form of pulmonary fibrosis corresponding to the histologic and imaging pattern of usual. Sections interstitial (nonidiopathic) pulmonary fibrosis. Fibrosis pulmonar idiopática definicion, etiopatogenia, anatomia patologica, cuadro clinico 6. La nivel pulmonar se desfășoară schimbul gazelor alveolare. Patrones evolutivos (rx anteriores) correlación con clínica y laboratorio.

Hospital de la santa creu i sant pau.

Learn more about ipf risk factors, symptoms, diagnosis. Pulmonary fibrosis information including symptoms, diagnosis, misdiagnosis, treatment, causes, patient stories, videos, forums, prevention, and prognosis. Transplantul pulmonar transplantul pulmonar poate fi o optiune de ultima instanta pentru persoanele tinere cu fibroza pulmonara severa care nu au beneficiat de alte optiuni de tratament. The first symptom of pulmonary fibrosis is usually shortness of breath with physical exertion that over time progresses to difficulty. Pulmonary fibrosis, end result of a variety of inflammatory diseases of the lungs in which dense fibrous connective tissue replaces lung tissue. Pulmonary fibrosis — learn about the symptoms, causes and treatment of this serious lung disease that occurs when lung tissue becomes damaged and scarred. Idiopathic pulmonary fibrosis (ipf) is a chronic and ultimately fatal disease characterized by a is a cytokine released from injured pneumocytes, inducing fibrosis in patients with idiopathic pulmonary. Espacio divulgativo creado por la unidad de epid / ild unit. Pulmonary fibrosis foundation, chicago, il. La nivel pulmonar se desfășoară schimbul gazelor alveolare. Pe lângă apariția procesului de fibroză a interstițiului pulmonar are loc dilatarea pereților bronhiolelor și hiperplazia țesutului muscular. Shortness of breath is typically the first symptom that. Doctors call this pulmonary fibrosis.

Idiopathic pulmonary fibrosis (ipf) is a clinical syndrome and considered the most common and the most lethal form of pulmonary fibrosis corresponding to the histologic and imaging pattern of usual fibrosis pulmonar. Pulmonary fibrosis — learn about the symptoms, causes and treatment of this serious lung disease that occurs when lung tissue becomes damaged and scarred.

Feature Ad (728)

Iklan Atas Artikel

Iklan Tengah Artikel 1

Iklan Tengah Artikel 2

Iklan Bawah Artikel